ARCH ARGENT OFTALMOL | 2019 | NÚMERO 14
COMUNICACIÓN BREVE


Conjuntivitis por Neisseria Gonorrhoae
Reporte de un caso

Dres. Jorge Banegas, Diego Desio y Andrea Schimpl
Hospital Oftalmológico Santa Lucía


RESUMEN
La conjuntivitis bacteriana en pacientes adultos producida por la bacteria Neisseria-Gonorrhoeae (NG) es una entidad poco frecuente y grave. Suele estar relacionada al contacto directo con secreciones genitourinarias. Se manifiesta como una conjuntivitis hiperaguda purulenta. Su sospecha y diagnóstico adecuado es de suma importancia ya que permite iniciar el tratamiento en forma precoz, disminuyendo así el riesgo de eventuales complicaciones, como ser la perforación corneal. Su tratamiento es la antibioticoterapia de forma sistémica. En este trabajo presentamos un caso de un paciente con diagnóstico de conjuntivitis gonocócica, quien presentó al momento de la consulta una conjuntivitis purulenta bilateral con perforación corneal en uno de sus ojos y adelgazamiento periférico 360° en el otro ojo.

Key words: Conjuntivitis por Neisseria-Gonorrhoeae, complicaciones, tratamiento. Conjunctivitis by Neisseria Gonorrhoeae, complications, treatment.

SUMMARY
Bacterial conjunctivitis in adult patients caused by the bacterium Neisseria gonorrhoeae (NG) is a rare and serious entity. It is usually related to direct contact with genitourinary secretions. It manifests as a purulent hyperacute conjunctivitis. Proper diagnosis is very important, as it allows earlytreatment, reducingtherisk of possiblecomplications, such as corneal perforation. In thisworkwepresent a case of a patient diagnosed with gonococcal conjunctivitis, who at the time of the consultation showed a bilateral purulent conjunctivitis with corneal perforation in one of his eyes and 360 ° peripheral thinning in the other eye.


Contacto: andreaschimpl@yahoo.com.ar
Recibido: 23/9/2019
Aceptado: 9/10/2019


OBJETIVO
Presentamos un caso de conjuntivitis gonocóccica. Expondremos su manifestación clínica, diagnóstico y complicación presentada. Finalmente se realiza una revisión bibliográfica sobre el tratamiento de dicha patología.

CASO CLÍNICO
Paciente de género masculino, de 41 años de edad, es referido al servicio de emergencias del Hospital Oftalmológico Santa Lucía de la Ciudad de Buenos Aires por presentar una conjuntivitis hiperaguda purulenta bilateral (imagen 1). Refiere estar en tratamiento con tobramicina hace 5 días sin obtener una mejoría clínica. Al interrogatorio, el paciente refiere práctica de relaciones sexuales con diferentes parejas.




Imagen 1

A la evaluación el paciente presentaba en ambos ojos una visión de movimiento de manos y a la biomicroscopía de ambos ojos se evidenciaba una hiperemia conjuntival, quemosis y una abundante secreción purulenta. En el ojo derecho, tras varios lavados de las secreciones, se pudo evidenciar una perforación corneal en hora 12, un prolapso de tejido uveal, discoria e hipotalamia (imagen 2). El ojo izquierdo presentaba adelgazamiento corneal periférico 360° (imagen 3).




Imagen 2


Imagen 3

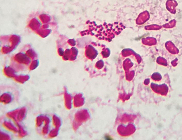
Frente a este cuadro clínico y con su antecedente personal, se sospechó de un caso de conjuntivitis por Neisseria-Gonorrhoeae y se decidió tomar una muestra de la secreción purulenta, que fue remitida al servicio de microbiología para la confirmación bacteriológica. El servicio de microbiología emitió el informe bacteriológico en los días siguientes: en la tinción de Gram se observaron abundantes diplococos Gram negativos, en el cultivo de Thayer Martin se evidenció el desarrollo de la bacteria (imagen 4), y en el estudio de la sensibilidad antibiótica se determinó mediante método de difusión en disco, la sensibilidad a penicilina, ceftriaxona, ceftazidima, eritromicina, y evidenció resistencia a ciprofloxacina.




Imagen 4

Al momento de la consulta se decidió la internación del paciente y junto con el servicio de clínica médica e infectología se indicó el inicio del tratamiento empírico de forma sistémica con ceftriaxona 1g/12 hs. endovenoso, ciprofloxacina 500Mg c/12hs. Se indicaron lavados del saco conjuntival con ceftazidima (ampolla de 1 g diluida en 500 ml desc. fisiológica) en cada ojo cada 6 hs. con el objetivo de barrer las sustancias tóxicas de la superficie ocular. Se indicó azitromicina 1 gr. vía oral para el tratamiento de Chlamydia trachomatis.
A las 24 horas de tratamiento sistémico, se observa una mejoría sintomática, con una disminución de las secreciones. Se realiza una ecografía demostrando la no afectación vítrea. El equipo quirúrgico evalúa al paciente y decide realizar una intervención quirúrgica en el ojo derecho indicando un parche de esclera y recubrimiento conjuntival con un colgajo bipediculado parcial. El objetivo propuesto fue lograr el cierre de la perforación ocular. Se consideró esta técnica quirúrgica como una cirugía transitoria, ya que posteriormente, tras la resolución del cuadro agudo, se indicara una queratoplastia definitiva con fines ópticos. El paciente fue dado de alta de internación y se le indicó controles ambulatorios de su recubrimiento conjuntival en el ojo derecho y del adelgazamiento periférico 360° del ojo izquierdo (imagen 5).




Imagen 5

DISCUSIÓN
La conjuntivitis por NG es considerada una enfermedad con baja prevalencia (0.19 cada 1000 habitantes). Esta bacteria tiene la particularidad de poseer enzimas proteolíticas con capacidad de generar afectación corneal, como ser queratitis, adelgazamiento hasta incluso la perforación corneal y ceguera en un plazo de 24-48 hs. Es por ello, que a la conjuntivitis gonocócica se la considera una de las urgencias oftalmológicas y ante la presencia de una conjuntivitis purulenta, debe sospecharse de este gérmen y realizar una tinción de Gram y cultivos microbiológicos en medios adecuados como ser Thayer Martin modificado, suplementado con agar chocolate.
Considerar posibles diagnósticos diferenciales de conjuntivitis purulenta, como ser Streptococcus Pneumoniae, Staphylococcus Aureus y H. Influenzae, pero ante la sospecha de NG, iniciar el tratamiento empírico hacia esta última. Se debe considerar además su coinfección en un 30-40 % con C. Trachomatis y por lo tanto instaurar un tratamiento para esta bacteria. Se indica realizar una pesquisa de otras enfermedades de transmisión sexual y se debe informar al paciente sobre su enfermedad infecciosa y brindar tratamiento a su pareja.
El tratamiento empírico inicial dependerá si hay o no perforación corneal. En casos donde no haya afectación corneal el tratamiento podrá ser ambulatorio sistémico: Ceftriaxona 1 g intramuscular (IM) dosis única (DU) y azitromicina 1 g vía oral DU para Chlamydia trachomatis. Si se determina que hay una perforación corneal se deberá internar al paciente e iniciar antibióticos sistémicos: ceftriaxona 1g/12 hs endovenoso junto con un antibiótico tópico complementario y lavados del saco conjuntival. El tratamiento quirúrgico dependerá del grado de afectación, habiendo varias opciones quirúrgicas en la bibliografía consultada, como ser: recubrimiento conjuntival, recubrimiento conjuntival con parche de esclera, membrana amniótica, o queratoplastia. Los autores recomiendan realizar una queratoplastia posterior al control de la infección, ya que la inflamación activa al momento de la cirugía tiene un resultado negativo en la supervivencia del injerto.

CONCLUSIÓN
Ante una conjuntivitis purulenta hiperaguda se debe sospechar de Neisseria Gonorrhoae. Recordar que esta bacteria posee enzimas proteolíticas capaces de perforar la córnea y generar ceguera en un lapso de 24-48 hs. Por lo tanto es una urgencia oftalmológica y ante la sospecha debe tomarse una muestra de las secreciones deberá instaurarse un tratamiento sistémico de forma empírica hasta obtener los resultados del laboratorio.


REFERENCIAS

  1. M Kawashima, T. Kawakita, Surgicalmanagement of corneal perforationsecondary to gonococcalKeratoconjuntivitis. Eye (2009) 23, 339-344.
  2. Pablo Chiaradia. Cirugía de la córnea, Principios generales y técnicas. 2012. Capítulo 2, Recubrimiento conjuntival.
    José M. Benítez del Castillo Sánchez, Superficie Ocular, 2004. Capítulo 39, Colgajos e injertos conjuntivales y esclerales.
  3. C Bastion, Bilateral Corneal Perforation in a Sexually Active Adult Male with Gonococcal Coniunctivitis, Med J Malaysia Vol 61 No 3 August 2006.